Screenshot 2026 03 03 at 10 47 02 AM

Atlas, a 1 year old tuxedo kitty, was in a pickle…

At first, his owner only noticed fairly subtle signs: “Over the course of 1 month, we noticed Atlas had stopped jumping on furniture and running. It was pretty gradual, so at first, we didn’t notice he was having a problem. Then, one day, he was laying on his bed and he cried when we would touch either of his back paws. I also noticed his back and hip area seemed thinner while his ribcage seemed more prominent.”

A shocking finding on X-rays

Their family vet took X-rays of his back and hips. He was started on anti-inflammatory drugs and antibiotics, “which didn’t really make any difference over the course of about 10 days.”

“He was not doing well. He couldn’t jump, climb, or run. He wasn’t eating well. He seemed to be in pain as time went on.”

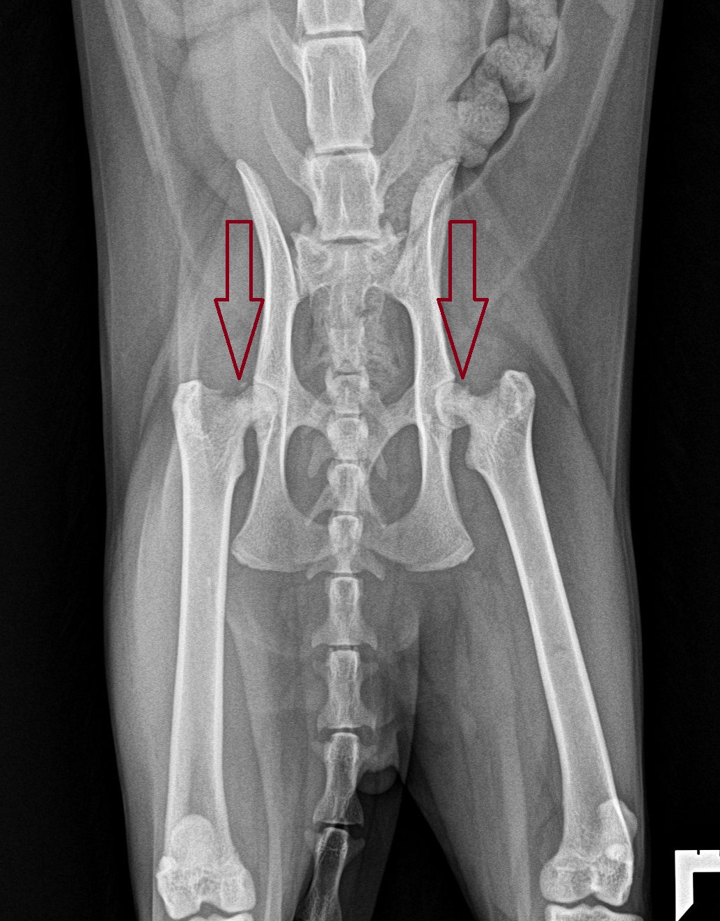
Atlas was then referred to LRVSS, where X-rays confirmed that Atlas had broken both of his hips!

Atlas cropped preop

The fancy medical name of this type of fracture is “slipped capital femoral epiphysis.”

His owner continues: “After the appointment with our surgeon, I was pretty relieved that surgery was an option. We had recently lost our dog and the idea of the new kitten we adopted being sick or having a chronic condition was upsetting.”

Now, how does a kitty break both hips, when his owner assured us there was no accident or trauma?

Atlas was actually a classic case of this “slipped capital femoral epiphysis.”

What is slipped capital femoral epiphysis?

Why classic?

Because the condition has been mostly reported in overweight, male cats, who were neutered early in life.

After digging a bit deeper, it appeared that Atlas was neutered around 2 months of age… which is a bit early.

This can lead to a delay in the closure of growth plates.

Growth plates are weaker areas in the bone where bone cells multiply to make bones grow longer as the kitten ages.

And then it doesn’t take much for the growth plate to break off

Studies show that what can cause the fracture in a kitty with “slipped capital femoral epiphysis” includes:

. Running

. Walking (incredible, no?)

. Jumping off a couch or a low bed (nothing super high).

. A sudden turn while playing

. Shifting weight while standing.

It can happen in one hip of both, and at the same time, or over time.

Studies profoundly disagree on how often the fractures happen in both hips at the same time, from 20% to 90% of the time!

Bottom line: “If a kitty has this in one hip, there is a 30% to 40% chance both are already affected. Even if the other hip looks OK today, it is likely to fail within the next few months because it’s now carrying all the weight.”

What is an FHO?

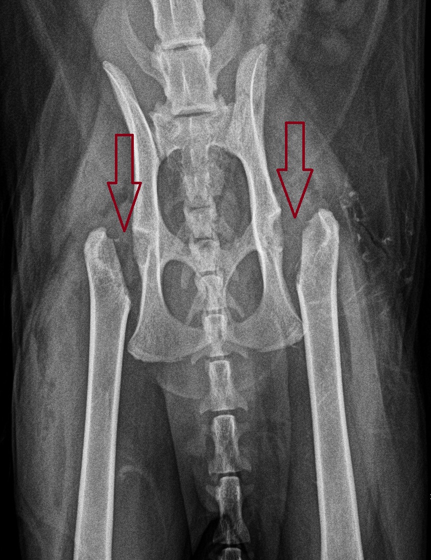
The treatment is a surgery called an FHO (Femoral Head Ostectomy), where the ball of the hip is removed. Then the ligament around the hip is sutured to provide padding. Over the following 2 months, scar tissue builds up around the hip “joint”.

Atlas cropped postop

We don’t love doing both sides at the same time. There are medical & financial pros and cons for doing the FHOs at the same time or over a few months.

Atlas’ owner remembers: “I’m glad we were able to do both hips at once, as the recovery was not easy. I’m glad we didn’t have to go through it twice.”

So our kitty had surgery, which was uneventful. After 1 night in the hospital on IV fluids, antibiotics and pain medications, he went home the following day.

    Atlas postop

    The secret to success: PT

    The key to a successful outcome is extensive physical therapy (PT).

    The hip needs to be stretched so the scar tissue doesn’t decrease the range of motion.

    It’s not always easy in a dog, harder in a cat, and even more challenging when it’s both hips.

    But “he was a very good boy and didn’t mind me stretching his hips for physical therapy.”

    And after 2 months, Atlas is doing great: “He’s great now! He runs and jumps and wrestles with his sister. He’s back to normal. We are very happy that we were able to be seen (quickly) and treated by LRVSS.” 

    How well is he doing?

    Here is a picture that tells the whole story: he is reaching for a toy, and completely stretching (extending) his hips, exactly 3 months after surgery.

    Atlas 3 mos postop Xmas day

    If you would like to learn how we can help your pet with safe surgery and anesthesia, please contact us through www.LRVSS.com

    Never miss a blog by subscribing here: www.LRVSS.com/blog

    Phil Zeltzman, DVM, DACVS, CVJ, Fear Free Certified

    Pete Baia, DVM, MS, DACVS

    www.LRVSS.com